2025.11.10
小児矯正の“早めの相談”がもたらすメリット ― 成長を味方につ...
こんにちは。
尼崎駅前歯科です。
本日は、当院のマウスピース矯正の症例をご紹介させていただきます。
マウスピース矯正でどんな風に歯並びが改善するのか、ぜひご覧ください。


| 年齢 | 20代・女性 |
| 主訴 | すきっ歯を治したい |
| 治療内容 | マウスピース矯正(モデレートパッケージ) |
| 費用 | ¥733,000(税込) ※矯正費用(精密診断費用、保定装置代含む) |
| 期間 | 約10ヶ月 |
| リスク・副作用 | 1日20時間以上マウスピースを使用できない場合、治療計画通り歯が動かない可能性がある。矯正中は噛み合わせが安定しない。虫歯、歯周炎のリスクが高くなる。後戻りする可能性がある。 |
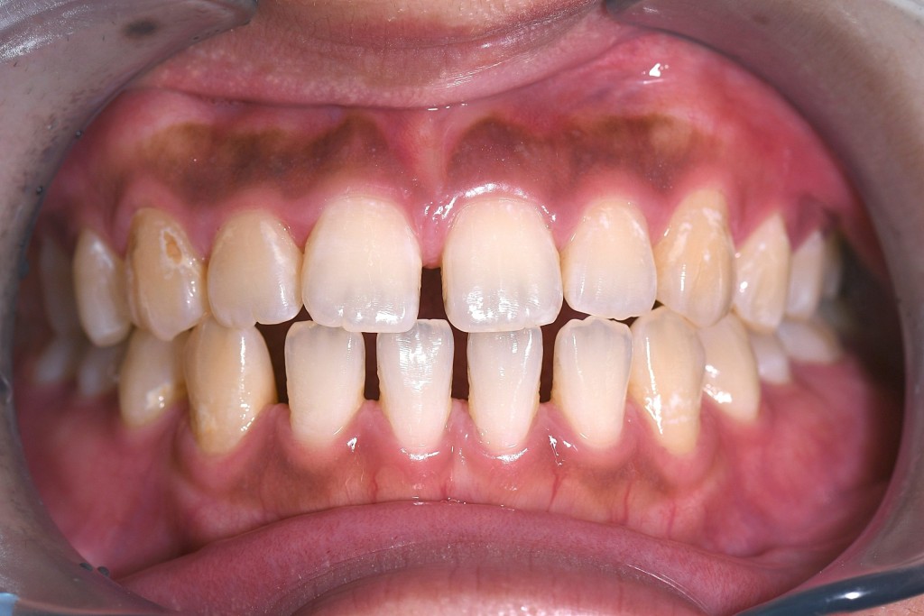
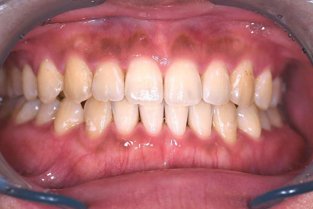
約10ヶ月で大幅に空隙歯列(すきっ歯)が改善しました。
上下の前歯を引いて隙間を埋めていく治療計画で治療を行いました。
元々奥歯の噛み合わせの前後的な位置関係のずれは大きくなかったため、比較的早く主訴の改善ができました。
矯正中、間食がしにくくなったことにしんどさを感じられながらも、しっかりと着用を続けてくださいました。
患者様も来院されるたび、日に日に歯が動いていることに驚きと喜びの声をいただき、
こちらも大変嬉しくなりました。
すきっ歯や出っ歯、開咬(奥歯で噛んでも前歯が閉じない歯並び)は、舌の位置が正しくなかったり、口呼吸など口腔習癖といわれる、癖が原因になっていることも多いです。
せっかく矯正で歯並びが綺麗になっても、口腔習癖が改善されていないと、後戻りのリスクが高くなってしまうので、歯並びだけでなく癖の改善もしっかりと行なっていきます。
最終的な噛み合わせの調整と保定期間もあるので、完全な終了まではもう少しかかりますが、
最後まで一緒に頑張っていきましょうね!
当院では、矯正の無料相談を実施しております!
・歯並びが気になる
・マウスピース矯正、インビザラインってどんなことするんだろう
・本当に歯並びが綺麗になるのか、どんな歯並びになるのか
・治療費用や期間はどれぐらいかかるのか
・マウスピース矯正中の日常生活への影響 などなど
些細なことでも、気になることがございましたら、お気軽にご相談にお越しください!
◇当院の矯正治療について
https://www.amagasaki.dental/orthodontic.html
◇マウスピース矯正専門サイトはこちら
https://www.amagasaki.dental/invisalign/
◇マウスピース矯正専門サイトはこちら
https://www.amagasaki.dental/invisalign/
マウスピース矯正専門アドバイザーけんたろう
これまでに500名以上の患者様の矯正相談を担当。
マウスピース矯正に関する知識はもちろん、患者様の視点で、おひとりおひとりに合った治療を一緒に考えさせて頂く役割です。
矯正無料相談では、お口のお悩みやご希望など時間を十分にお取りしてお伺いします。
今までの歯科治療での不安や、なかなか先生に言いにくいことなどもお話して頂けたらと思います。
患者様の「不安」を「安心」にできるよう、わかりやすく丁寧にご説明させていただきます。

https://www.instagram.com/mouthpiece_kentaro?igsh=YWE5MHRpZHl4eGl5&utm_source=qr