2025.12.03
結婚式までに歯並びも美しくしたい方へ──1年でここまで変わる...
「矯正治療は歯が動き終わったらゴール」
そう思われがちですが、実はここからが矯正治療の“後半戦”です。
動かした歯をしっかり安定させ、キレイな歯並びを長く保つためには、
矯正後の保定(リテーナーによる維持管理)が不可欠です。
この記事では、患者さんが特に誤解しやすい
「保定を怠るとどうなるのか?」
について、実際の症例も交えながら詳しく解説します。
さらに、当院がどのような体制で後戻りを防止しているかもご紹介。
矯正治療を検討中の方、すでに治療中・治療後の方にも
必ず知っていただきたい内容にまとめました。
矯正治療では、歯を動かす際に周囲の骨(歯槽骨)や歯根膜にゆっくりと変化が起こります。
しかし、歯が動いた直後は骨や歯ぐきがまだ不安定で、
元の位置を「記憶」したままの状態です。
そのため、治療後の歯は
ゴムのように元の場所へ戻ろうとする“後戻りの力”
が常に働いています。
この時期に必要なのが、移動した歯を正しい位置に固定する
リテーナー(保定装置)です。
保定の目的は以下の3つ。
どれも矯正治療の成功に欠かせない工程であり、
**「保定までを含めて矯正治療」**といっても過言ではありません。
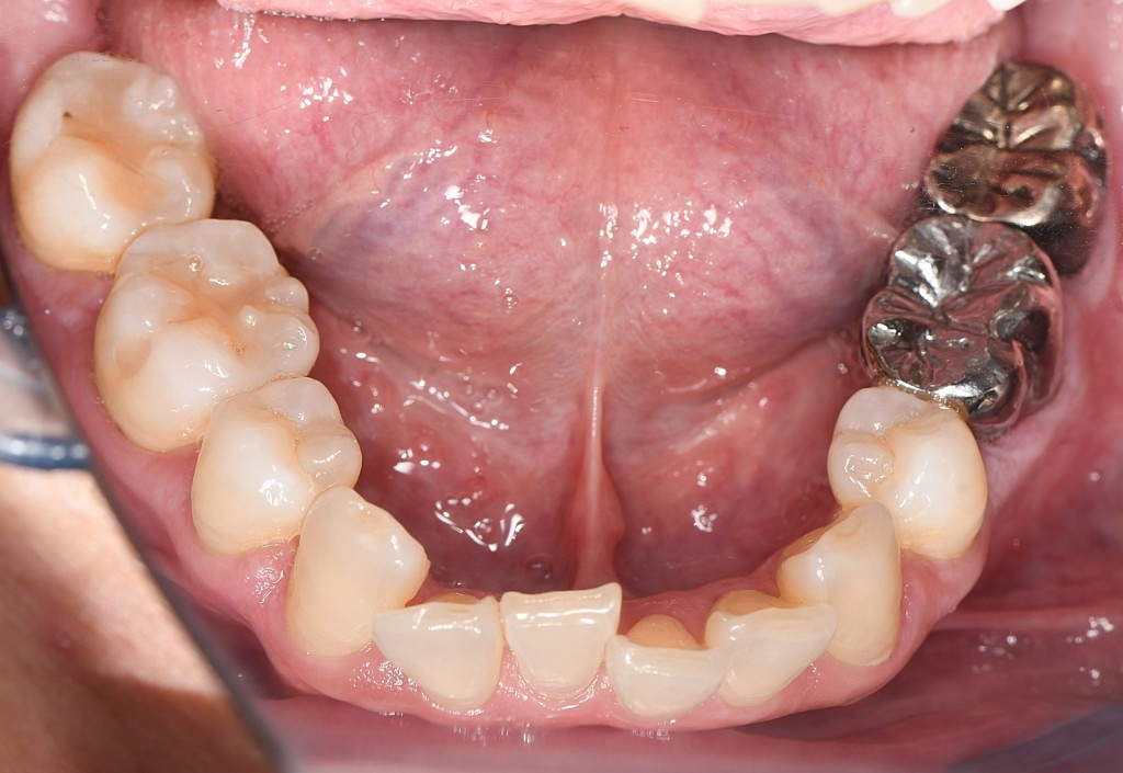
保定の重要性を最も感じていただけるのは、
実際に後戻りが起きてしまったケースです。

いわゆる“典型的な後戻り”のパターンです。
現在、再度マウスピース矯正による治療をスタートされています。
理由はシンプルで、
人の歯や顎は一生変化し続ける ためです。
複数の要因がじわじわと影響し、
見た目には気づかないレベルでゆっくり後戻りが進行していきます。
患者様ご本人も
「まさかここまで戻るとは思わなかった」
と驚かれていました。
後戻りは、数ヶ月〜数年かけて進むため、気づきにくいのが特徴です。
こういった変化は全て
後戻りの初期サイン。
しかし、気づいた頃には戻ってしまっている…
ということも珍しくありません。
結論からお伝えすると、
可能な限り“生涯”続けることを推奨しています。
もちろん、ずっと1日中つけるわけではありません。
一般的な目安は以下の通りです。
→ 終日
→ 夜間のみ
治療直後は後戻りの力が強く、年数が経つと弱まるため
「もう外してもいいのでは?」と思われがちです。
しかし、
高齢になってからの歯列変化や噛み合わせ変化は誰にでも起こる自然現象
であり、保定装置を外すとその影響を受けて後戻りしやすくなります。
“人生100年時代”では、
むしろ 長期的な保定がスタンダード といえます。
夜間だけの保定でも、かなり安定しやすくなります。
かかりつけのクリニックから「保定は終了してOK」と言われた後も、
できるだけ続けることで後戻りリスクを大きく下げられます。
後戻り初期では、
「なんか入れにくい」
という感覚があることがあります。
これはすでに歯が動き始めているサイン。
割れた・ゆるい・入らない場合は、
早めに作り直すことで進行を防げます。
専門家のチェックは、
後戻りの“微細な変化”を見逃さないために非常に重要です。
これらはご自身では判断が難しいため、
3〜6ヶ月に1回のチェックをおすすめしています。
矯正治療は「終わってからが本番」。
だからこそ当院では、保定期のサポート体制を特に重視しています。
毎回、歯科医師または矯正担当スタッフが以下を確認します。
必要があれば
忙しい方でも続けやすいよう、
クリーニングやむし歯チェックと同じ日に保定チェックを実施しています。
これにより、わざわざ別日に来院する手間が減り、
長期の保定管理が続けやすくなります。
後戻りは早期対応がカギ。
当院ではリテーナーを紛失・破損した場合も迅速に対応し、
必要に応じてその日のうちに型取り・再作製を行います。
結論として、
後戻りを“ゼロ”にすることはできません。
ただし、
正しい保定管理を続けることで“限りなく小さく”することができます。
患者さんによっては、わずかに並びが変わったとしても
「見た目はほとんど変わらない」「噛み合わせに支障がない」
という状態に保つことが可能です。
そのために重要なのは、
“自分に合った保定方法”を継続すること。
当院では患者様の歯並び・生活スタイルに合わせて、
矯正治療は、
「歯を動かす → 安定させる → 維持する」
という3段階で完結します。
特に “維持する” 期間はもっとも長く、
どれだけ治療結果を守れるかを左右する大切なステップです。
矯正治療は、終わってからも“患者さんと一緒に歯並びを守る治療”。
当院では、治療後も末長く安心してお任せいただけるよう、
保定管理を大切にした治療を提供しています。
矯正治療をご検討中の方、
すでに治療を終えた方も、
保定について気になることがあればお気軽にご相談ください。
マウスピース矯正専門アドバイザーけんたろう
これまでに500名以上の患者様の矯正相談を担当。
実際に自身もマウスピース矯正を行なっており、
矯正治療に関する知識はもちろん、自身の経験ももとに患者様の視点で、
おひとりおひとりに合った治療を一緒に考えさせて頂く役割です。
矯正のご相談では、お口のお悩みやご希望など時間を十分にお取りしてお伺いします。
今までの歯科治療での不安や、なかなか先生に言いにくいことなどもお話して頂けたらと思います。
患者様の「不安」を「安心」にできるよう、わかりやすく丁寧にご説明させていただきます。

https://www.instagram.com/mouthpiece_kentaro?igsh=YWE5MHRpZHl4eGl5&utm_source=qr