症例

当院にて実際に行った症例です。

左下5番・6番・7番の欠損に対し、咬合力が最も強く集中する左下大臼歯部(6番・7番)に
インプラント治療を実施し、
左下小臼歯部(5番)については、インプラントは埋入せず、奥のインプラントを土台として
歯を前方に“伸ばす”構造(カンチレバー設計)により回復しています。

機能回復(咀嚼能力の改善)と予後安定性を重視しながら、
患者様の身体的負担・経済的負担のバランスを考慮した治療設計によるインプラント治療の結果です。

レントゲン画像(抜歯前)

レントゲン画像(インプラント埋入後)

上部構造セット後

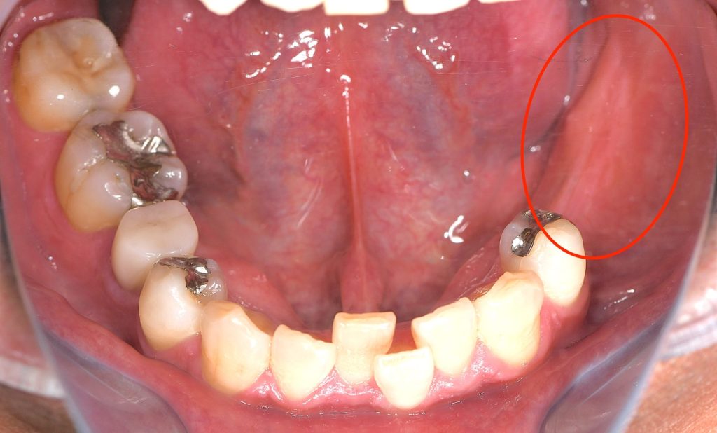
来院時の口腔内の状態と診断

検診希望にて来院。

左下7(第二大臼歯)は、歯根破折により数年前に他院で抜歯済み。

左下6(第一大臼歯)は、過去に近心根の歯根破折に対して
歯根分割抜歯(ヘミセクション)が行われており、遠心根のみ残存している状態。

欠損部位は、左下5(第二小臼歯)および左
下6遠心根を支台歯としたブリッジ補綴により修復されていた。

左下5・左下6遠心根ともに、歯質量・歯周組織の状態から、
長期的予後としては良好とは言えない状態であることを説明。

ただし現時点では保存可能と判断し、安易な抜歯は行わず、「可能な限り歯を残す方針」について
患者さんと共有し、経過観察・管理を行う方針とした。

初回来院後、定期的に検診・メンテナンスで来院されていたが、
初回来院から約1年後、左下5番に自発痛を認めた。

診査の結果、元々咬合力が非常に強く、う蝕により歯質が菲薄化(薄く脆弱化)した状態の歯牙が
咬合負荷に耐えきれず、歯根破折を発症していることを確認。

また、左下6遠心根についても構造的・機能的予後が不良と判断。

以上より、左下5・左下6の抜歯後治療として、
**インプラント・ブリッジ・義歯(入れ歯)**のいずれかの補綴治療が必要と判断。

カウンセリング時間を十分に確保し、各治療法について、

  • 機能回復の違い
  • 予後の安定性
  • 健康歯への影響
  • メリット・デメリット
  • 費用
  • 治療期間
  • 将来的なメンテナンス性

を含め、総合的に説明。

患者さんより、
「しっかり噛める状態を取り戻したい」
「今ある歯を少しでも長く残したい」
「健康な歯を削る治療には抵抗がある」
との意向があり、インプラント治療を希望された。

治療計画としては、患者様の身体的・金銭的負担の最小化と機能回復の両立を目的に、

・最も咬合力が集中する左下6・左下7部位にインプラント2本埋入
・左下5部位はカンチレバー構造を応用し、インプラント本数を最小限に抑制

する設計とした。

抜歯後、治癒期間・インプラント治療工程を経て、
抜歯から約10ヶ月で補綴治療を含めた全治療が終了

現在は、機能的咬合・審美性・清掃性を確保した状態で、良好な経過管理下にある。

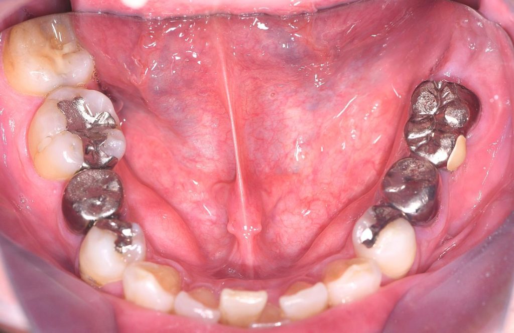
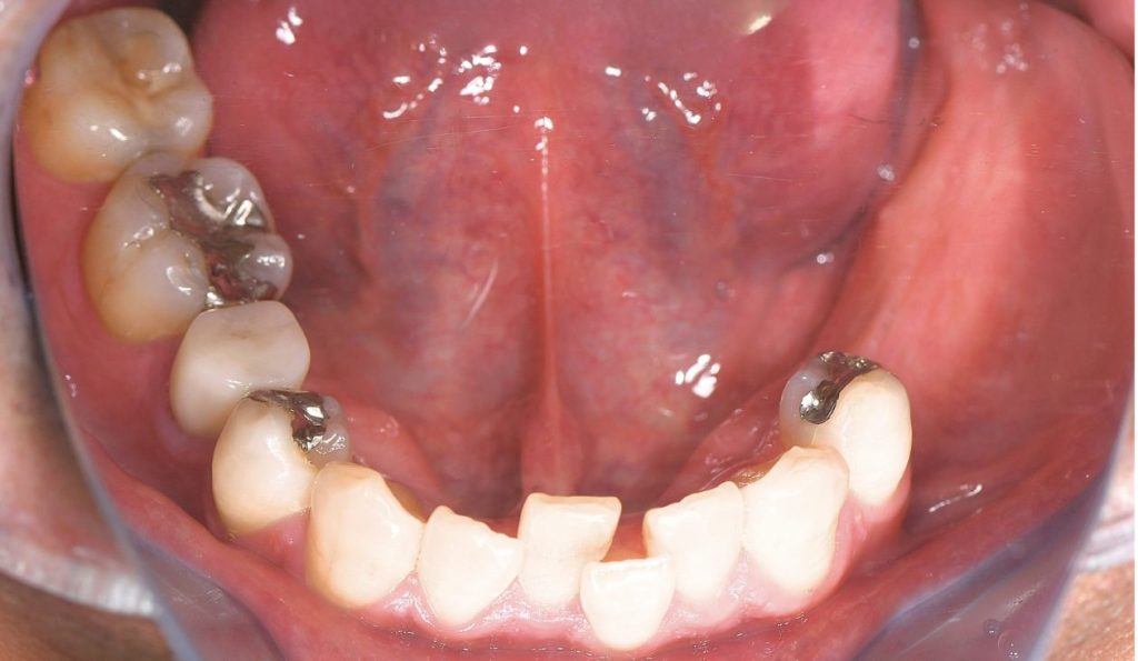
来院時の口腔内写真

抜歯から3ヶ月経過後

インプラント埋入後

上部構造セット後

治療方法

左下6、左下7:インプラント
左下5:カンチレバー

症例の詳細

  年齢    50代・男性
主訴①左下5歯根破折による痛み
治療内容インプラント治療(ストローマン)
費用¥1,100,000(税込)
期間約10ヶ月
リスク・副作用口腔内および全身状態(既往歴)、喫煙の有無、噛み合わせ、骨造成の有無などにより、治療期間や費用(追加費用含む)はそれぞれ異なります。症例によっては再手術や追加手術が必要な場合もあります。また術後は歯周病の管理も含めた継続的なメンテナンス(通常の定期クリーニング)が必要になります。

術後の経過

インプラント治療が終了してから3ヶ月が経過していますが、ご自宅での清掃も適切に行ってくださっており、定期的なメンテナンスにもしっかりと通ってくださっているので、トラブルなくご使用いただいております。

こちらのインプラント治療担当の歯科医師

尼崎駅前歯科 勤務医 秋山 雄介

初めまして。尼崎駅前歯科に勤務しております、歯科医師の秋山です。

私が治療において大切にしていることは、
・「とりあえず痛みを取る」
・「今ある問題だけを処理する」

そういう治療ではなく、私が治療させていただいたインプラント含め、
すべての歯が、5年後も、10年後も、きちんと噛めて、機能し続けること。

そこまでを含めて、治療だと考えています。

目立たない部分ほど、時間がかかる部分ほど、誰にも評価されにくい部分ほど、きっちりやる。

その場しのぎを繰り返すより、
「もうこの歯で悩まなくていい」そう思ってもらえる治療をしたい。

それが、私がlongevity(長く使えること)を大切にしている理由です。

もし、「何度も同じ歯を治療している気がする」
「この治療、本当に長くもつのかな」そんな不安を少しでも感じたことがあるなら、
一度、治療の考え方そのものを見直すタイミングかもしれません。

治療を受けるかどうかを、その場で決める必要はありません。

まずは、あなたのお口の状態を一緒に整理するところから
お話しできればと思っています。

少しでも患者様の負担が少ない治療を

インプラント治療の負担は、オペの間だけではありません。
オペを行うまでに何度も通わないといけない時間的な負担。
決して安くない治療費の金銭的負担。
術後の腫れや痛みなど肉体的負担。

それらの負担を少しでも減らしていただける治療を私たちは大切にしております。

そのために、安易に歯を抜いてインプラントではなく
できるかぎり歯を残せるような治療を考え尽くし、
複数本、歯がない状態でも、できる限り少ないインプラントの本数での治療を行います。

また、オペの際には、麻酔の痛みすら少なくできるような配慮や
術後の痛みや腫れを最大限少なくしていただける手技や知識の研鑽を日々続けています。

それが当院が”優しいインプラント治療”と掲げる理由です。

インプラント無料相談実施中

当院ではインプラント治療の無料相談を実施しております。
・他院で抜歯してインプラントと診断されたけど、歯を残せないの?
・インプラントはしたいけど、費用は抑えたい…
・治療方法や痛み治療期間など、治療の詳細を聞きたい
・どれくらい持つのか、トラブルはないのか 等

些細なことでも、気になることがございましたら、お気軽にご相談にお越しください。

【執筆・監修者】

尼崎駅前歯科 
院長 鷲本 剛

虫歯治療や歯周病治療などの一般的な歯科治療に携わりながら、歯を失った患者様に対する治療にも力を注ぐ。

治療技術、知識の研鑽の為、インプラント治療や矯正治療を専門に扱う様々な歯科医院にて診療を行いながら、国内外の学会や研修会に参加し、最新の技術や知識を学び、所属している大阪歯科大学口腔インプラント科では、専門的な診療や手術に携わる機会を得て、より高度な技術や知識を身に付ける。

現在は、培った知識経験を若手医師の育成のため、歯科医師に向けインプラント治療のセミナー講師も務める。

◇当院のインプラント治療について

https://www.amagasaki.dental/implant/

clinic
calenda

×休診日:火曜日、月曜日の祝日
★土日祝・・・10:00〜14:00、15:00〜18:00

〒660-0861
兵庫県尼崎市御園町27−3 さきタワー・サンクタス尼崎駅前 1F

インプラント無料相談の空き状況

06-6412-7007 WEB予約