2025.10.27
11月休診時間のお知らせ
				 
			
こんにちは!尼崎駅前歯科です。 
いつも当院をご利用いただき、ありがとうございます。
このたび、当院では 「ガムピーリング」 を導入いたしました✨
「ガムピーリング」とは、歯ぐきの黒ずみや色素沈着を改善するための処置です。
タバコのヤニやメラニン色素による黒ずみでお悩みの方に、とても効果的な施術です。
そんな方におすすめなのが「ガムピーリング」です😊
専用の薬剤を歯ぐきの表面に塗布して、黒ずみの原因であるメラニン色素を除去します。
施術は短時間で終わり、数日〜1週間ほどで自然にピンク色の健康的な歯ぐきに✨
※個人差はありますが、1〜2回の施術でしっかりと効果を実感いただける方が多いです!
痛みの感じ方には個人差がありますが、ピリッとした感覚や、ヒリヒリするような刺激を感じられる方もおられます。
極力、痛みを軽減できるよう表面麻酔を塗ってから施術させていただきます!
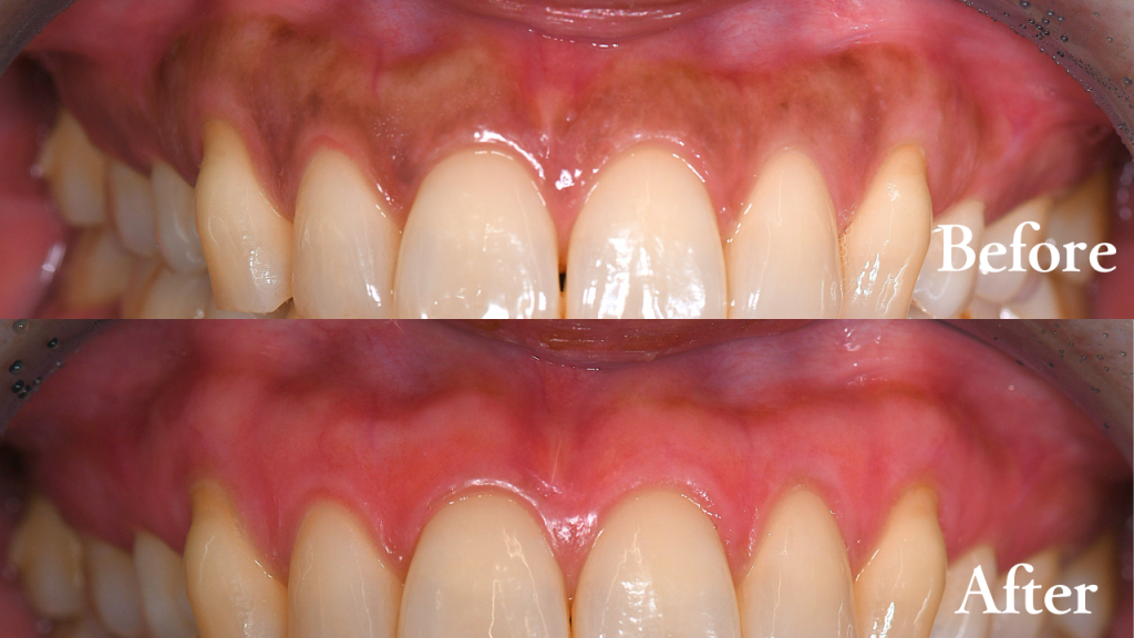
40代・女性
施術回数:初回施術のみ




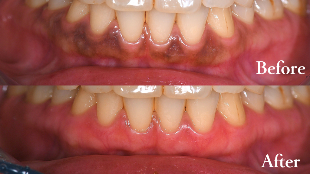
40代・男性
施術回数:初回施術+リタッチ1回 合計2回




かなり黒ずみが取れてきれいな歯茎になり、大変喜んでくださいました✨
※施術後1週間程度は薬剤を塗布した箇所が白くなりますが、徐々に剥がれきれいな歯茎になります。
※保険適用外の自費診療となります。
※リタッチは施術から1ヶ月以内。1回のみ。
白く美しい歯も大切ですが、歯ぐきの色もお口元の印象を大きく左右します。
「歯ぐきの色が気になって大きく笑えない…」という方、ぜひ一度ご相談ください。
気になることや不安な点がありましたら、お気軽にスタッフまでお声かけくださいね。
📩 ご予約・ご相談はお電話またはLINEからどうぞ♪
今後も、みなさまの「自信の持てる笑顔」のお手伝いができるよう、スタッフ一同取り組んでまいります✨