2025.10.25
すきっ歯の治療方法を徹底解説
こんにちは。
尼崎駅前歯科です。
本日は、当院のマウスピース矯正の症例をご紹介させていただきます。
マウスピース矯正でどんな風に歯並びが改善するのか、ぜひご覧ください。




| 年齢 | 50代・女性 |
| 主訴 | すきっ歯を治したい |
| 治療内容 | マウスピース矯正(コンプリヘンシブパッケージ) |
| 費用 | ¥933,000(税込) ※矯正費用(精密診断費用、保定装置代含む) |
| 期間 | 約24ヶ月 |
| リスク・副作用 | 1日20時間以上マウスピースを使用できない場合、治療計画通り歯が動かない可能性がある。矯正中は噛み合わせが安定しない。虫歯、歯周炎のリスクが高くなる。後戻りする可能性がある。 |
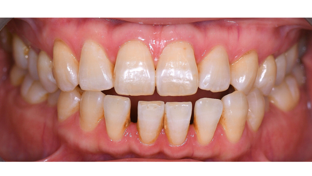
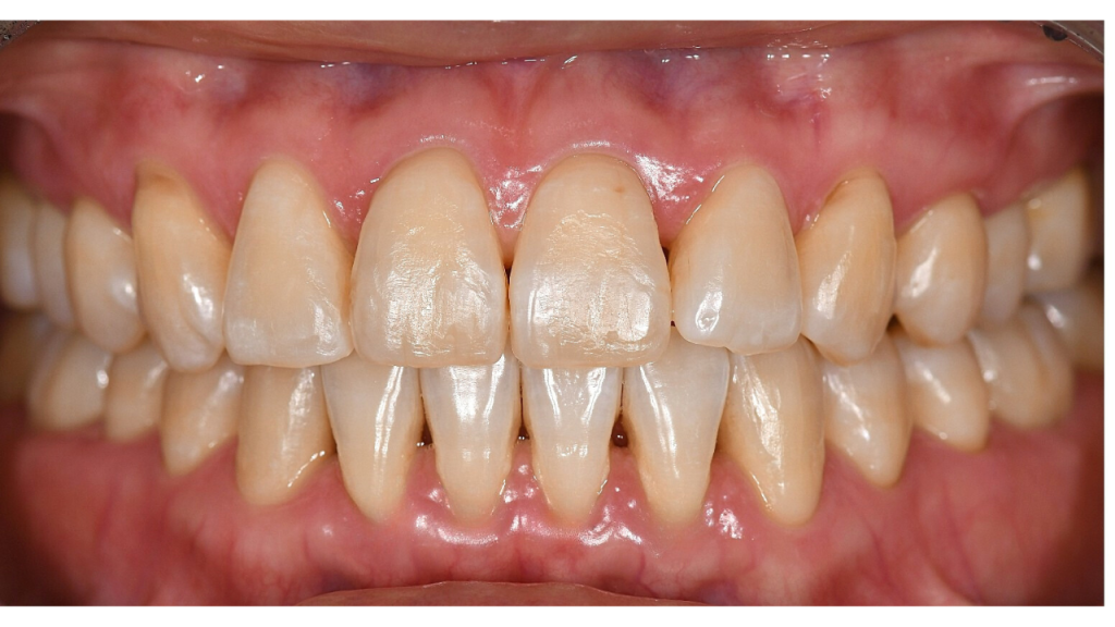
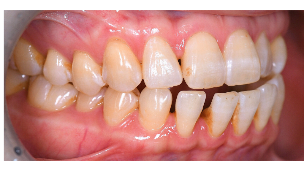
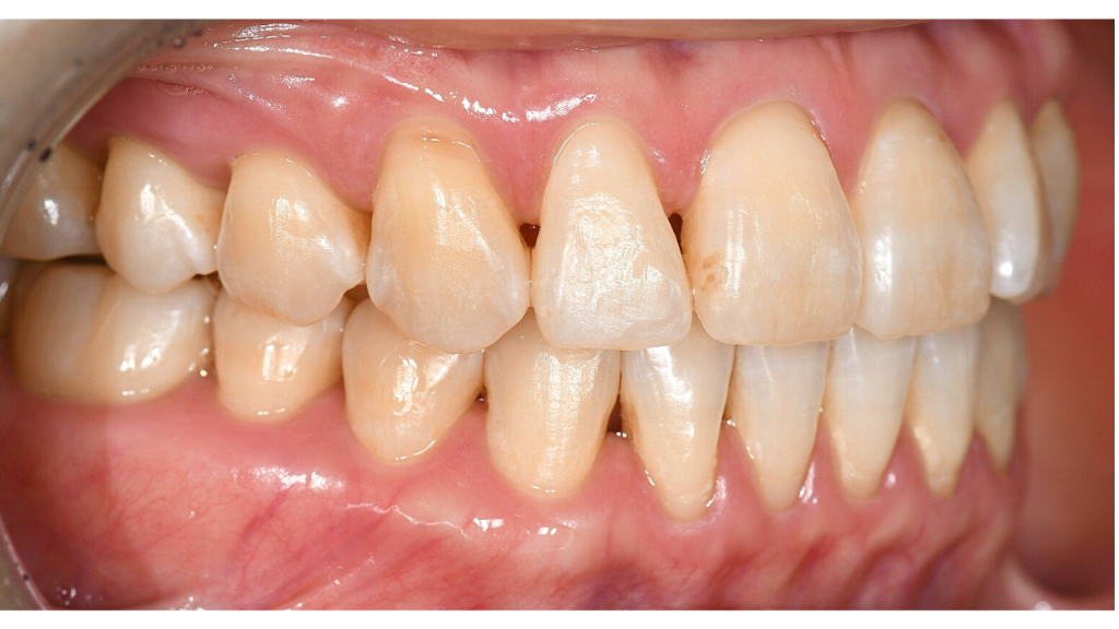
約2年で空隙歯列(すきっ歯)、受け口が改善しました。
こちらの患者さんは、年々下の前歯が前に出てきて、受け口とすきっ歯になってきたと、相談に来られました。
詳しくお話を聞いていくと、低位舌(舌の先端が下の前歯の後ろにあり、下の前歯を前に押す力がかかっている状態)でした。
舌の力が歯列に及ぼす影響は非常に大きく、年々下の歯が前に出てきた大きな要因だと考えられます。
歯並びの改善方法としては、前に押し出され、広がってしまった下の前歯を後ろに引いて隙間を埋めていく治療計画で治療を行いました。
ただ、低位舌の改善ができていないと、矯正後も再度前歯が出てきてしまうため、
正しい舌のポジションの指導、癖の改善も矯正中に行わせていただきました。
また、すきっ歯は比較的後戻りしやすいため、下顎前歯の裏側にワイヤー式の保定装置も装着しました。
すきっ歯や出っ歯、開咬(奥歯で噛んでも前歯が閉じない歯並び)は、舌の位置が正しくなかったり、口呼吸など口腔習癖といわれる、癖が原因になっていることが非常に多いです。
当院の矯正治療は、ただ歯並びを治すだけでなく、歯列不正が起きた原因までしっかりとアプローチし、
矯正後の歯並びが綺麗な状態で維持できるよう、癖の改善のサポートまで行います。
当院では、矯正の無料相談を実施しております!
・歯並びが気になる
・マウスピース矯正、インビザラインってどんなことするんだろう
・本当に歯並びが綺麗になるのか、どんな歯並びになるのか
・治療費用や期間はどれぐらいかかるのか
・マウスピース矯正中の日常生活への影響 などなど
些細なことでも、気になることがございましたら、お気軽にご相談にお越しください!
◇当院の矯正治療について
https://www.amagasaki.dental/orthodontic.html
◇マウスピース矯正専門サイトはこちら
https://www.amagasaki.dental/invisalign/
マウスピース矯正専門アドバイザーけんたろう
これまでに500名以上の患者様の矯正相談を担当。
マウスピース矯正に関する知識はもちろん、患者様の視点で、おひとりおひとりに合った治療を一緒に考えさせて頂く役割です。
矯正無料相談では、お口のお悩みやご希望など時間を十分にお取りしてお伺いします。
今までの歯科治療での不安や、なかなか先生に言いにくいことなどもお話して頂けたらと思います。
患者様の「不安」を「安心」にできるよう、わかりやすく丁寧にご説明させていただきます。

https://www.instagram.com/mouthpiece_kentaro?igsh=YWE5MHRpZHl4eGl5&utm_source=qr