2025.10.25
すきっ歯の治療方法を徹底解説
				 
			



患者様は小学生の時にワイヤー矯正で治療をされておられました。
治療から15年以上が経ち、後戻りをしたため、歯並びのがたつきを気にされておられました。
ただ、ワイヤー矯正の見た目が気になることや、痛みが強かった記憶もあり
再度矯正をするか迷われていました。
そんな時、マウスピース矯正であれば見た目も目立たず、痛みをも少なく治療をできると知り、
近くの矯正専門歯科へ相談へ行かれました。
ただ、上下の小臼歯(前から4番目もしくは5番目の歯)を4本抜いて、ワイヤー矯正でしか治せないと診断され、歯を抜かずにマウスピース矯正で治療ができないかと、当院へお越しになられました。
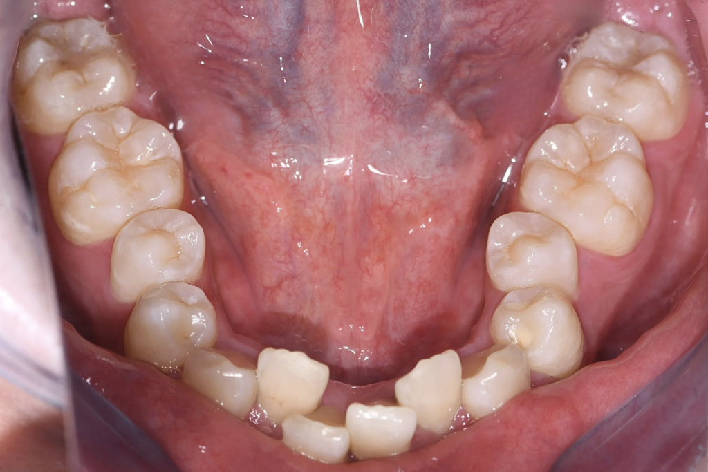
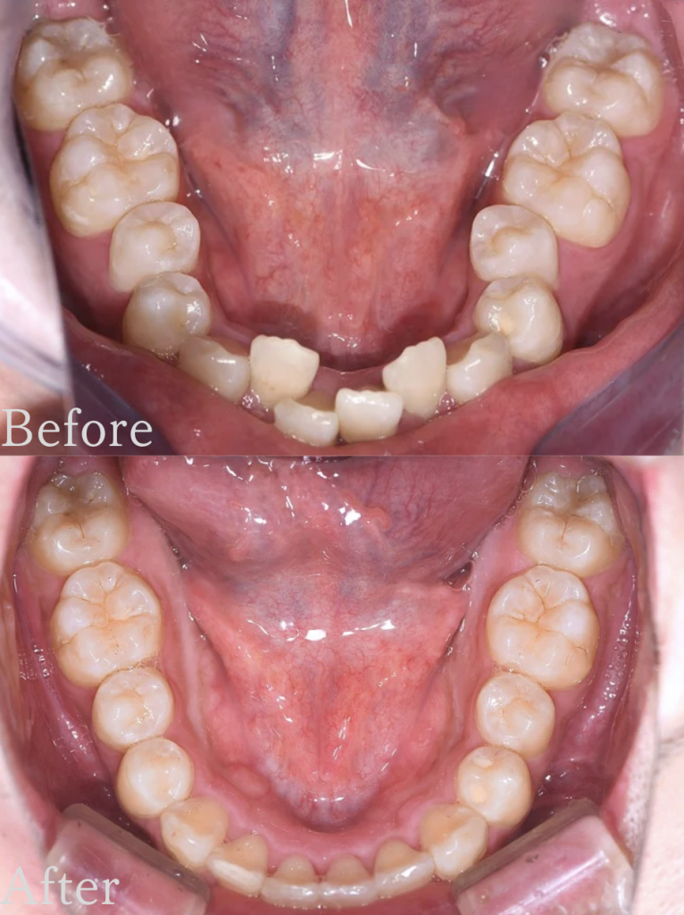
・下の歯のがたつきが大きいため、小臼歯の抜歯をしないと歯を並べられない
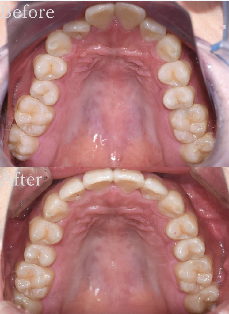
・上の歯はがたつきは大きくないが、下の歯と噛み合わせを合わせるために、小臼歯の抜歯が必要
・抜歯が必要な矯正治療はマウスピース矯正ではできないため、ワイヤー矯正が必要

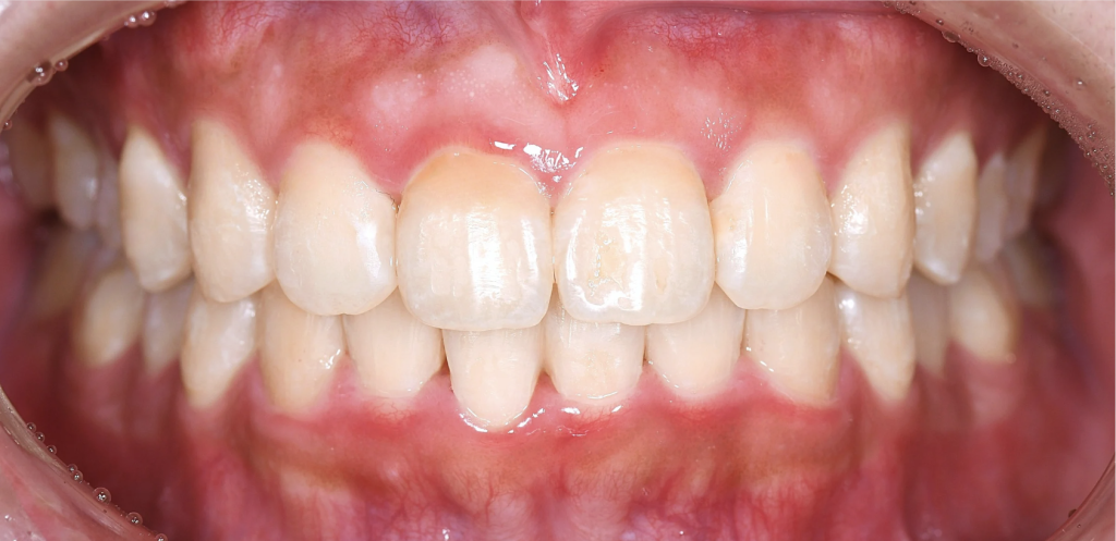
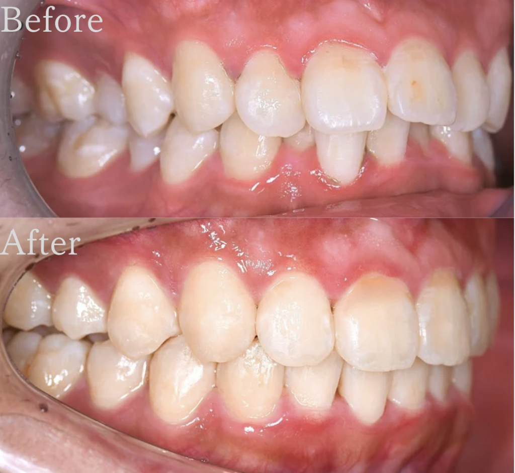
永久歯に大きさに対し、歯を並べるスペース(顎)が小さく、
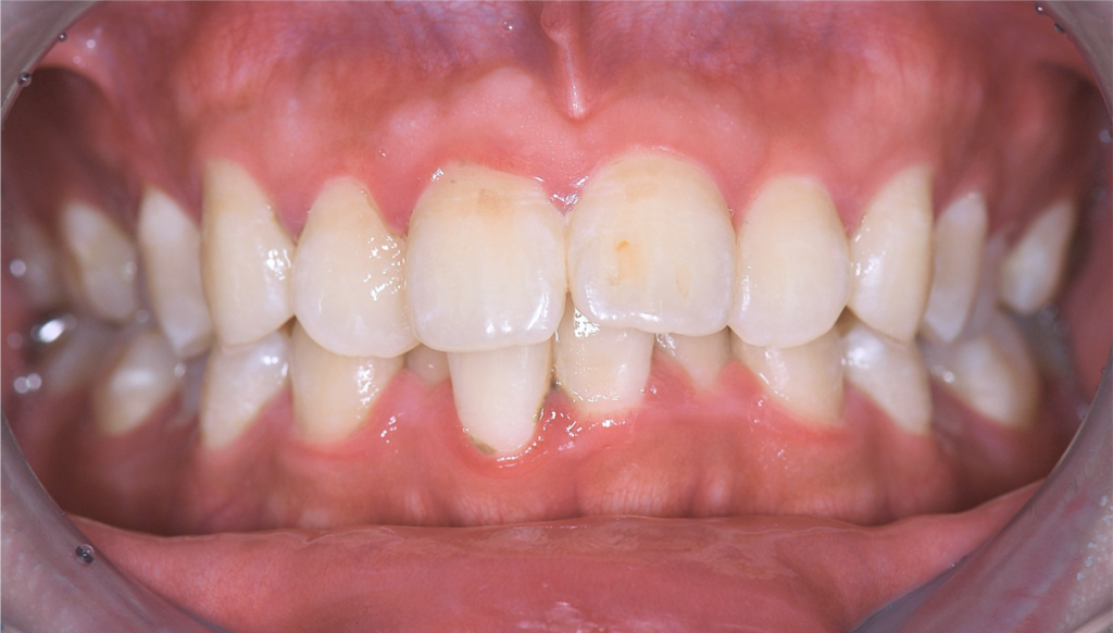
上下ともに狭窄歯列、下顎前歯には叢生(歯のガタつき)、上顎前歯の突出感が認められました。
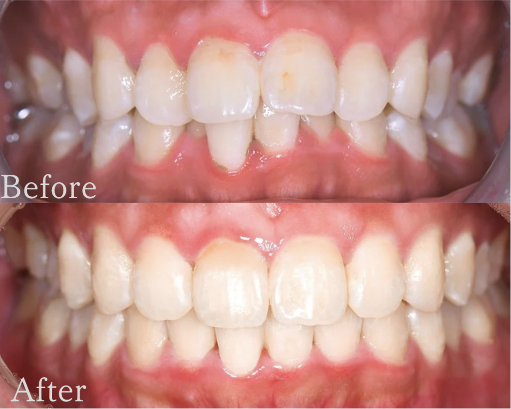
また、やや上の前歯が下の前歯に覆い被さり、噛み合わせが深い(ディープバイト)傾向もあり、奥歯への負担が強くかかる噛み合わせでした。
治療計画シュミレーションを作成した結果、
下顎前歯のがたつきはやや大きい数値を示していましたが、抜歯をしたくないという患者様の強いご希望もあり、IPR(歯と歯の間をわずかに削る処置)、遠心移動(奥歯を後ろへ動かす)を
組み合わせてスペースを作成することで、
抜歯を行わずにマウスピース矯正で治療が可能と判断いたしました。
(奥歯を後ろに動かすため、親知らずの抜歯は行う)
また、ディープバイト改善のため、上下の前歯の圧下(顎の骨の中に埋め込む)を行い、適切な前歯の噛み合わせを作りました。
歯を抜いてワイヤー矯正でしか治せないと診断され、歯を抜かないと治せないほど
悪い歯並びだとは思われておらず、一度は矯正を諦めかけておられました。
ただ、”歯を抜かずにマウスピース矯正だけで治せる”というのが、矯正に踏み出すにあたり、
患者さんの中でとても大きかったとのことでした。
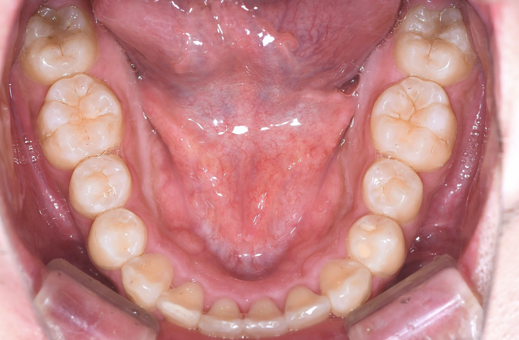
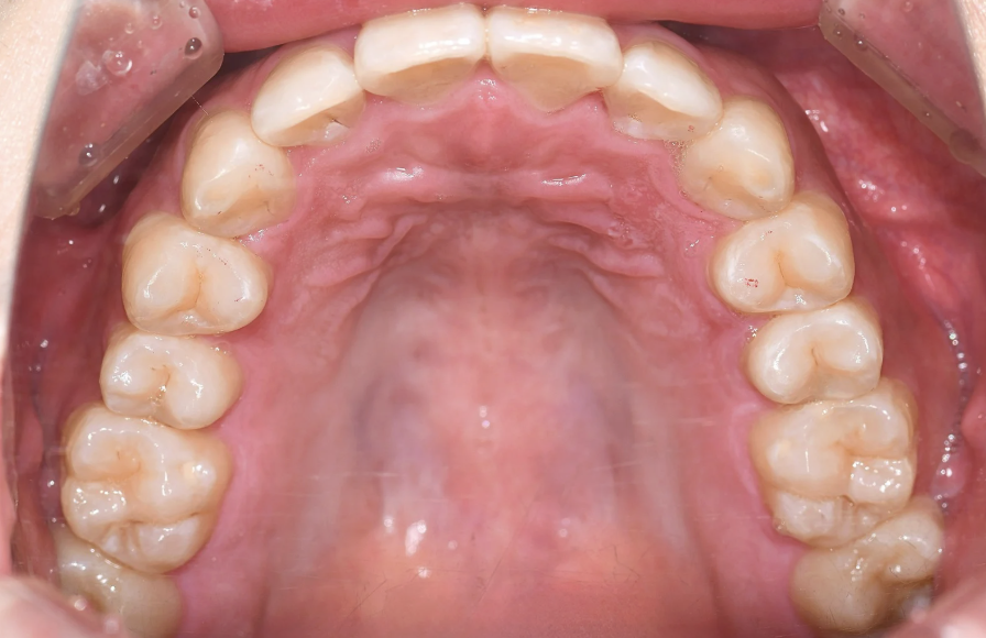
どんどん歯並びがきれいになるのを実感され、矯正終了時には大変喜んでいただけました。







Instagramにも患者様の矯正治療の感想を投稿しております。ぜびご覧ください。
https://www.instagram.com/p/DOsFOSzkgaa/?utm_source=ig_web_copy_link&igsh=MzRlODBiNWFlZA==
同じ歯並びでも「ワイヤー矯正かマウスピース矯正」か「歯を抜くのか抜かないのか」等
クリニックによって、診断が大きく変わります。
また、マウスピース矯正ではがたつきの大きい歯並びや、抜歯を伴う矯正はできないと
思われている患者さんも少なくありません。
重要なのは矯正の方法ではなく、誰が治すかです。
知識と経験があれば、マウスピース矯正でも治すことが可能です。
”ワイヤー矯正でしか治せない”と診断され、矯正を諦める前に、一度当院へご相談ください。

当院では、500名以上の矯正相談を担当する、矯正専門のカウンセラーが
カウンセリングを担当させていただきます。
実際に自身もマウスピース矯正を経験して感じたメリットやデメリットまで
しっかりとお時間をお取りし、わかりやすく丁寧にお伝えさせていただきます。
歯並びのお悩みがございましたら、ぜひ一度ご相談ください。
※カウンセラーが不在の日もございます。
担当をご希望の際は、お手数ですがお電話にてお問い合わせください。
